Коновалов 
Денис Николаевич
Стоматолог-ортопед
Образование
  • Окончил Уральский Государственный Медицинский Институт (1993 год).
Повышение квалификации
  • «Современные технологии изготовления зубных протезов. Клинические этапы» (2004 год).
  • «Искусство достижения эстетики при восстановлении передней группы зубов с помощью адгезивных керамических реставраций», г. Екатеринбург (2007 год).
  • «Базовый курс протезирования на имплантатах системы MIS» (2008 год).
  • «Особенности получения оттисков при протезировании на имплантатах»(2011 год).
  • «Несъемные временные протезы. Временное долговременное протезирование. Временное протезирование на имплантатах» (2011 год).
  • Семинар «Непрямые реставрации при лечении повышенной стираемости зубов» (2012 год).
  • «Инновационные решения в имплантологии: хирургический и ортопедический этапы работы с системой мини-имплантатов MDI (3M ESPE)» (2012 год).
  • Ортопедические аспекты и факторы, влияющие на долговременность протезных конструкций с опорой на имплантаты. (2013 год).
  • VIII Международный Конгресс Dental Guru профессиональных имплантологов (2016 год).
  • «Протезирование пациентов с применением дентальных имплантатов. Ключевые особенности клинической работы врача-ортопеда»(2018 год).
  • «Особенности хирургического, ортопедического и лабораторного этапов с использованием системы multi-unit абатментов. цифровой и аналоговый подход» (2019).
  • «Протезирование с использованием системы multi-unit абатментов» (2019 год).
Лечение 
от Дениса Николаевича
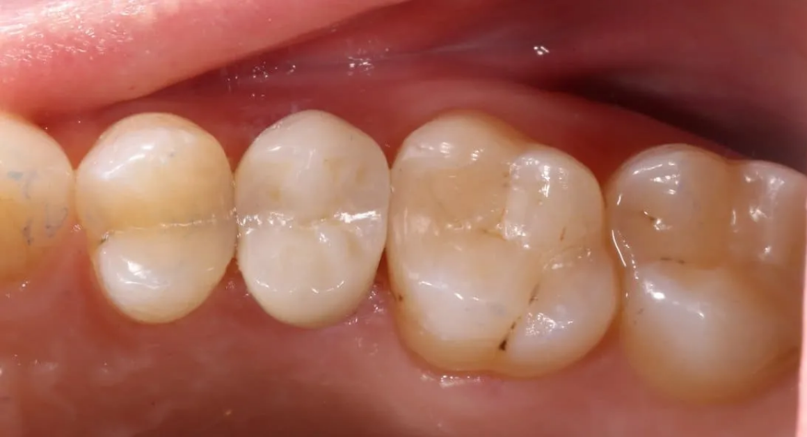
Восстановление зубов коронками 
Проблема : Сильная разрушенность коронковой части зубов
План лечения:
  • Подготовка зуба к временной коронке
  • Изготовление временной коронки
  • Изготовление постоянной коронки
  • Фиксация коронки
  • Время процедуры
    1 неделя
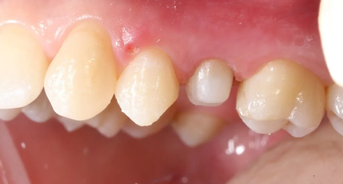
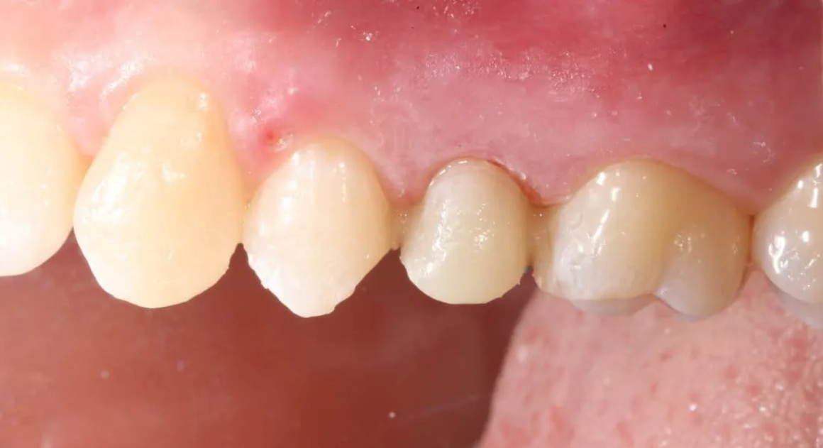
Коронка из диоксида циркония
Проблема:  Разрушенность зуба более 50%
«Бог разговаривает с каждым на его языке. С медиком - на латыни»
Отзывы
Записаться 
на прием