Ли Самуил Александрович
Стоматолог хирург-имплантолог
Образование и стажировки
  • Уральский государственный медицинский университет (2013).
  • Стажировка 6 месяцев в Юж.Корее ( ортопедия) + 3 месяца по имплантации (система Osstem).
Повышение квалификации
  • «Professional Total Implant Management Course of OSSTEM AIC» (2013 год).
  • «Clinical Obstevation and Research Assistant Program» (2015 год).
  • «Ключевые этапы клинического применения цифровых технологий на терапевтическом, ортопедическом, хирургическом приемах. Экономика и внедрение цифровых технологий в клинику» (2019 год).
  • «Guised Bone Regeneraton»(2019 год).
  • «Принципы работы с имплантационной системой Stranmann. Вводный курс для ортопедов» (2019 год).
Лечение 
от Самуила Александровича
Виниры
Проблема : Скол зуба, эстетика
План лечения:
  • Препаровка зубов
  • Изготовление виниров
  • Общая стоимость
    99 000 ₽
  • Время лечения
    2 недели
  • Гарантия
    1 год
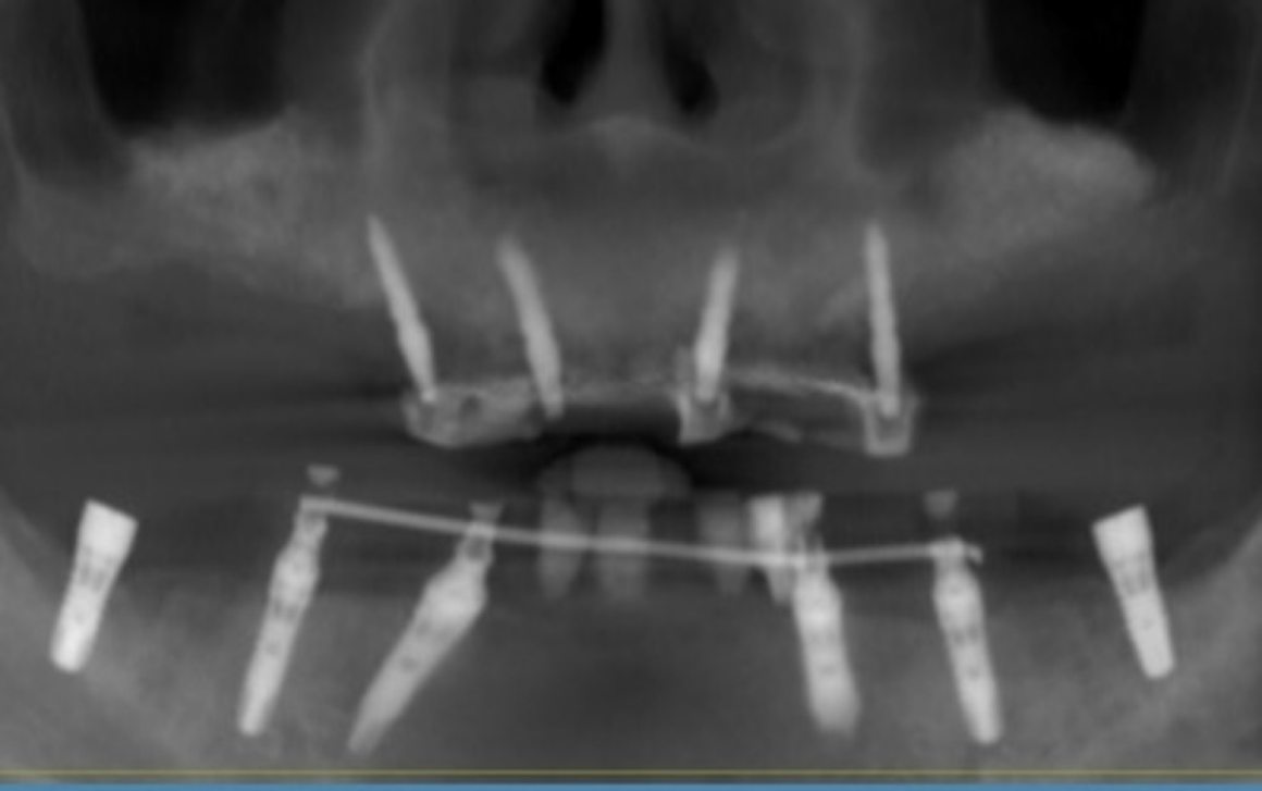
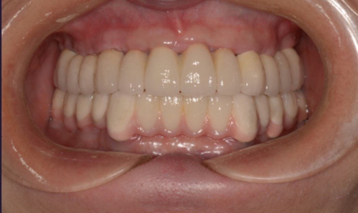
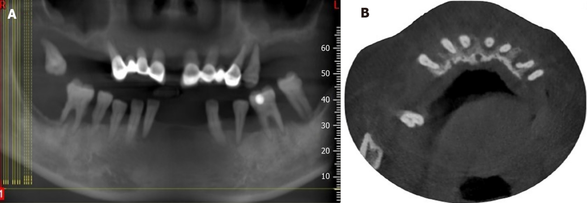
Реабилитация на диоксиде циркония
Проблема: Частичное отсутствие зубов, эстетика , страх стоматологов
Тотальная реабилитация
Проблема: Отсутствие зубов
Отзывы
Записаться 
на прием