Ярикова Татьяна Ивановна
Стоматолог-хирург
Возвращать улыбку - это исскуство
Образование
Образование
Окончил Уральский государственный медицинский университет в 2007 году
Ординатура

Интернатура-стоматология 
ортопедическая 2010 г.
Ординатура - стоматология хирургическая 2011 г.
Имплантация и лечение от Александра Сергеевича
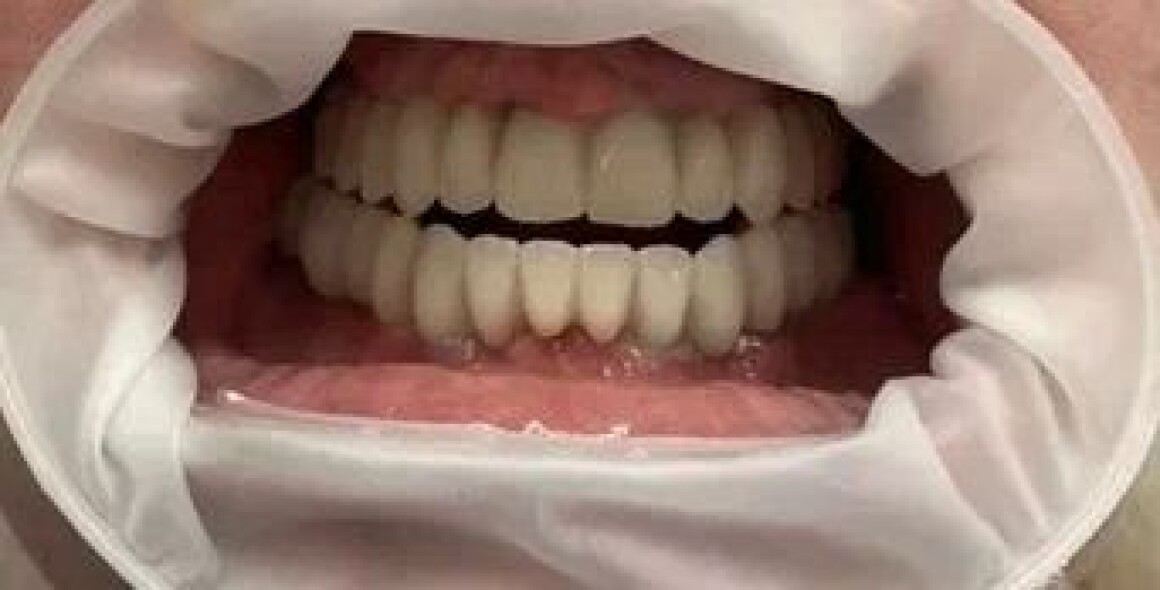
Тотальная реабилитация
Проблема : Полное отсутствие зубов, не держаться протезы
План лечения
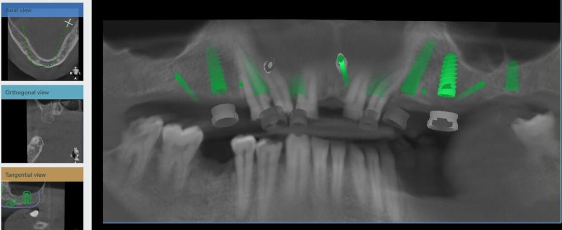
  • Планирование имплантации
  • Изготовление временных конструкций на имплантантах
  • Изготовление шаблонов для операции
  • Имплантация 12 имплантантов за один раз
  • Установка временных коронок на имплантантах
  • Установка постоянной конструкции из металлокерамики верх и низ
  • Общая стоимость
    720 900 Р
  • Срок
    5 месяцев
  • Гарантия
    12 месяцев
Тотальная реабилитация верхней челюсти
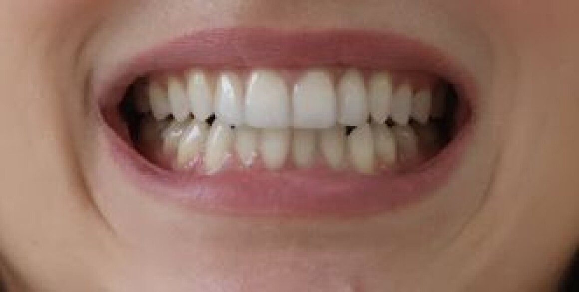
Частичное отсутствие зубов, плохая эстетика
Виниры
Проблема : скол зуба, эстетика
Тотальная реабилитация двух челюстей
Частичное отсутствие зубов
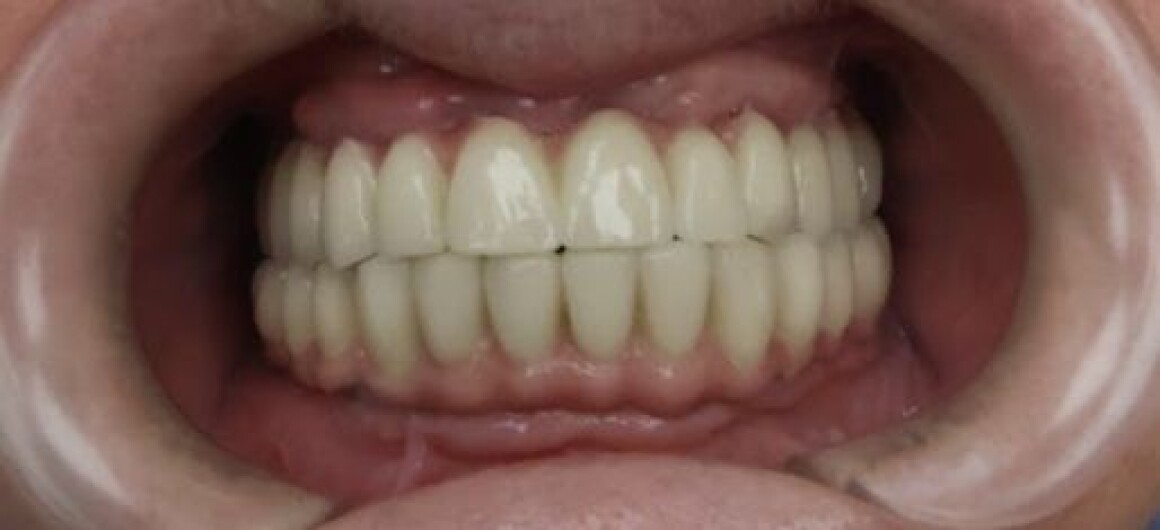
Реабилитация на диоксиде циркония
Частичное отсутствие зубов, эстетика , страх стоматологов
Отзывы
Записаться 
на прием