Балаханова
Ирина Сергеевна
Ирина Сергеевна
Стоматолог-терапевт, ортодонт, детский врач
Чем Вы занимаетесь?
— а лечите детей?
«Занимаюсь взрослым приемом - лечением кариеса и проведением профессиональной гигиены полости рта и зубов.
У деток оказываю весь спектр услуг (лечение кариеса и его осложнений, реставрация, профессиональная гигиена)».
У деток оказываю весь спектр услуг (лечение кариеса и его осложнений, реставрация, профессиональная гигиена)».
Почему решили стать детским стоматологом?
«Это решение пришло ко мне, когда только начался мой путь в стоматологии и я сама ещё была ассистентом. Первый врач, с которым мне удалось поработать вела детский прием.
Это и запало мне в самую душу, ведь детки - они очень искренние, с ними можно найти контакт, подобрать свой ключик для каждого маленького пациента и заниматься профилактикой!
Важно сохранять зубки с самого детства и заниматься профилактикой зубных заболеваний! »
Это и запало мне в самую душу, ведь детки - они очень искренние, с ними можно найти контакт, подобрать свой ключик для каждого маленького пациента и заниматься профилактикой!
Важно сохранять зубки с самого детства и заниматься профилактикой зубных заболеваний! »
За что Вы любите свою работу?
«За искренность!
Потому что дети не умеют притворяться, если им страшно - они покажут это. Если они тебе доверяют - это тоже заметно.
Я могу найти подход к каждому ребенку! Много деток к нам уже приходило и с каждым мы находили общий язык!»
Потому что дети не умеют притворяться, если им страшно - они покажут это. Если они тебе доверяют - это тоже заметно.
Я могу найти подход к каждому ребенку! Много деток к нам уже приходило и с каждым мы находили общий язык!»
Лечение
от Ирины Сергеевны
от Ирины Сергеевны
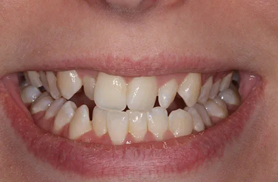
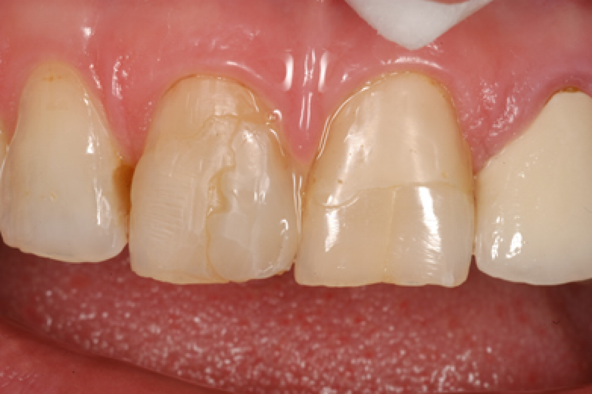
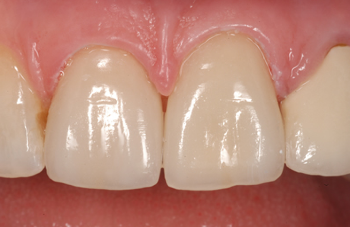
Виниры
Проблема : Старые пломбы на передних зубах
Пульпит
Проблема: Ноющая боль, усиливающаяся к ночи
Отзывы
«Выберите работу, которую вы любите, и вам не придётся работать ни дня в своей жизни»
«Мы становимся тем, о чем мы думаем»
«Мы становимся тем, о чем мы думаем»
Записаться
на прием
на прием
Спасибо, ваша заявка отправлена