Аксенова
Светлана Сергеевна
Светлана Сергеевна
Стоматолог-терапевт
Образование
- Окончила Уральский Государственный Медицинский Университет (2005 год).
- Интернатура - Стоматология общей практики (2006 год).
Повышение квалификации
- Стоматология терапевтическая (2011 год).
- Стоматология общей практики (2016 год).
- Стоматология терапевтическая (2016, 2020 год).
- Стоматология общей практики (2020 год).
Профессиональная гигиена (1 этап)
— откуда неприятные ощущения?
«1 этап - Ультразвуковой метод, для снятия твердых зубных отложений (камней).
Зубные камни бывают не у всех, но снять их можно только с помощью ультразвука. Бывают наддесневыми и поддесневыми.
Процедура безболезненная, но иногда возникают неприятные ощущения. Почему? Так как корни зуба не покрыты эмалью и они чувствительны. Когда ультразвуковая насадка касается корня, происходит небольшая чувствительность».
Зубные камни бывают не у всех, но снять их можно только с помощью ультразвука. Бывают наддесневыми и поддесневыми.
Процедура безболезненная, но иногда возникают неприятные ощущения. Почему? Так как корни зуба не покрыты эмалью и они чувствительны. Когда ультразвуковая насадка касается корня, происходит небольшая чувствительность».
Профессиональная гигиена (2 и 3 этап)
— Это обязательные этапы?
«2 этап - Air Flow. Это мелкодисперсная сода, подающаяся под давлением с водой, является абсолютно безвредной для зубов. Убирает налет как с внутренней поверхности, так и с внешней
3 этап - снятие зубных отложений щеточкой. Все зубки по периметру, со всех сторон проходятся специальной щеточкой. В это же время зубы осматриваются на наличие кариеса. Так как именно в этот момент можно обнаружить кариес на самом раннем этапе его развития.
Далее зубки покрываются фтором (предотвращает и защищает от появление кариеса) ».
3 этап - снятие зубных отложений щеточкой. Все зубки по периметру, со всех сторон проходятся специальной щеточкой. В это же время зубы осматриваются на наличие кариеса. Так как именно в этот момент можно обнаружить кариес на самом раннем этапе его развития.
Далее зубки покрываются фтором (предотвращает и защищает от появление кариеса) ».
Как лечат кариес?
— а больно ли лечить?
«Лечение кариеса начинается с того, что мы обязательно проводим обезболивание современными средствами, которые действуют! Далее остается только тактильная чувствительность.
Далее производим препарирование полости, убираем все пораженные ткани зуба. Обрабатываем полость медикаментозными средствами и восстанавливаем полость пломбировочными материалами».
Далее производим препарирование полости, убираем все пораженные ткани зуба. Обрабатываем полость медикаментозными средствами и восстанавливаем полость пломбировочными материалами».
Как лечат кариес?
— разве кариес бывает разный?
«Бывает разная локализация и глубина кариеса, бывает кариес эмали или дентина (внутренний слой зуба). Так же он бывает глубоким или неглубоким.
Поэтому - да, кариес бывает разным. Но в тоже время его разновидность зависит от срока его существования.
То есть, чем дольше кариес существует - тем он становится обширнее и глубже».
Поэтому - да, кариес бывает разным. Но в тоже время его разновидность зависит от срока его существования.
То есть, чем дольше кариес существует - тем он становится обширнее и глубже».
Что такое пульпит?
— что будет если не лечить?
«Пульпит - это воспаление пульпы зуба, то есть, является осложнением кариеса.
Когда зуб с кариесом не был своевременно пролечен начинает развиваться его осложнение - пульпит.
Именно тогда и возникает острая боль, которая может застать Вас в самый неподходящий момент.
Своевременно пролеченные зубы - залог Вашего успеха! »
Когда зуб с кариесом не был своевременно пролечен начинает развиваться его осложнение - пульпит.
Именно тогда и возникает острая боль, которая может застать Вас в самый неподходящий момент.
Своевременно пролеченные зубы - залог Вашего успеха! »
Что такое периодонтит?
— можно ли спасти зуб?
«Периодонтит - это осложнение кариеса и пульпита. Когда не было своевременного лечения кариеса - он перешел в пульпит, далее будет развиваться периодонтит (воспаление, перетекающее на корни зуба).
Является заболеванием почти не поддающимся лечению. Шанс что зуб пойдет под удаление - 50/50.
Лечите зубки своевременно! »
Является заболеванием почти не поддающимся лечению. Шанс что зуб пойдет под удаление - 50/50.
Лечите зубки своевременно! »
Что такое эстетическая реставрация?
— что будет если не лечить?
«Эстетическая реставрация - экономичный вариант виниров.
Виниры - это полукоронка, которую изготавливают в лаборатории и устанавливают на зуб.
Для красоты и эстетики.
Более экономный, но менее надежный вариант - это эстетическая реставрация прямым методом, непосредственно в полости рта. Это просто пломбировочные материалы премиум класса, где мы подбираем цвет и форму зуба. И конечно же красоту Вашей улыбки! »
Виниры - это полукоронка, которую изготавливают в лаборатории и устанавливают на зуб.
Для красоты и эстетики.
Более экономный, но менее надежный вариант - это эстетическая реставрация прямым методом, непосредственно в полости рта. Это просто пломбировочные материалы премиум класса, где мы подбираем цвет и форму зуба. И конечно же красоту Вашей улыбки! »
Лечение
от Светланы Сергеевны
от Светланы Сергеевны
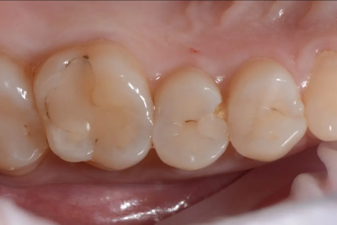
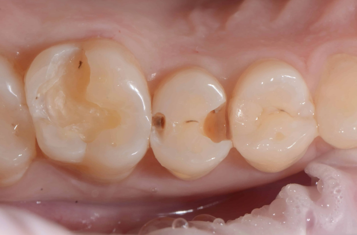
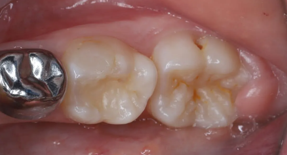
Кариес зуба
Проблема: Замена старых негерметичных пломб, скол зуба
Отзывы
«У всего есть своя красота, но не каждый может ее увидеть»
«Единственный способ сделать что-то очень хорошо — любить то, что ты делаешь»
«Единственный способ сделать что-то очень хорошо — любить то, что ты делаешь»
Записаться
на прием
на прием
Спасибо, ваша заявка отправлена